
/cover-photo_40-0124d7d856-74e1-470a-ac07-d79243ac5d48.jpg?Status=Master&sfvrsn=f7b53da0_3)
February 2019| Issue 40
The Scholarly Projects in Year 4, a six-week module, is a cornerstone feature of the Imperial-NTU MBBS programme, where students take up a research topic over six weeks and present their findings during a celebratory evening. This year, the module has been given a new platform with the inaugural student-led research symposium. We look at the importance of introducing the rigours of research to students.
We profile Professor of Metabolic Medicine Bernhard Broehm who was recently appointed to the Ong Tiong Tat Chair Professorship of Diabetes Research – he tells us about the lifestyle factors that could lead to diabetes.
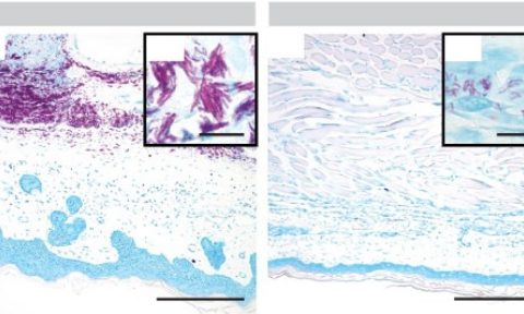
Associate Professor of Infectious Disease Kevin Pethe's discovery of compound Q203 in 2013 that proved effective against tuberculosis, continues to yield dividends as his recent published research shows that it can be used to treat Buruli ulcer as well. He tells us more in this issue.
Don't miss the latest news and happenings as well. Happy reading!
/meet-prof-bernhard-boehm-more-ammunition-to-fight-diabetes_feb-2019f088b2f0-bb9c-4a2e-bebd-ed81b48a5a6f.png?Status=Master&sfvrsn=70d91219_3)
/lkcmedicine-hosts-inaugural-joint-symposium-on-infection_feb-201917163cfa-873e-428e-872e-c444404075cf.png?Status=Master&sfvrsn=3b266432_3)
/new-ocip-in-the-works_feb-2019434f91a8-31f3-4b21-947b-6dcbda17888f.png?Status=Master&sfvrsn=fdd04ff9_3)

/scholarly-project-an-introduction-to-research-or-a-turn-off_feb-2019c4fe2d96-d77e-4e10-8966-955e237ee410.png?Status=Master&sfvrsn=c5d39b1d_3)

/news-roundup_feb-2019a4debf40-a10c-478c-8d72-84addf16054f.png?Status=Master&sfvrsn=7335460e_3)
/communication-is-critical-to-delivering-good-healthcare_feb-2019a4eae1fe-d36a-4518-ad57-5448001cdef2.png?Status=Master&sfvrsn=92546a05_3)
/a-new-drug-breakthrough-for-buruli-ulcer-treatment_feb-201998320403-5ef2-4c91-92f9-bc5df7d92dfc.png?Status=Master&sfvrsn=93be1b10_3)

/ttsh-collaborates-with-sif-on-joint-singapore-china-programme-to-improve-palliative-care_feb-201925a30260-a7ef-4db1-bf3d-2d581b7435f9.png?Status=Master&sfvrsn=bf5d0d6c_3)
/imperial_issue-40_photoad06bff9-b224-4a1a-8cc9-bb418eed0449.png?Status=Master&sfvrsn=728c950b_3)